Casos Clínicos

Inicio / Casos clínicos

Casos clínicos

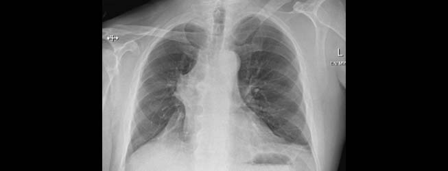
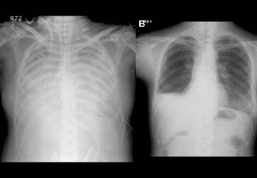
History: a 75 year old man status post partial left upper lobectomy, complicated by pneumothoraces status post chest tube placemente, presented with diffuse crepitus.

A chest radiograph was performed and is shown below. Radiographs: Diffuse subcutaneous emphysema and pneumomediastinum. Patchy basilar opacities In keeping with atelectasis and a probable small amount of left pleural fluid. Small biapical pneumothoraces

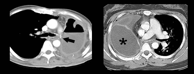
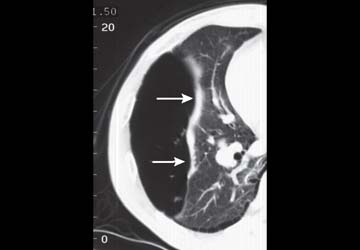
Chest CT: Extensive postoperative subcutaneous emphysema and pneumomediastinum. There is a moderate left-sided pneumothorax after left upper partial lobectomy, despite the presence o left chest tube with its lip at the left ape

Differential diagnosis
-Air trapped in skin folds or clothing
-Gas within soft-lissue lacerations
-Air associated with long hair
-Fat density mistaken for gas


Diagnosis: latrogenic subcutaneous emphysema

-Subcutaneous emphysema
-Subcutaneous emphysema refers lo gas in the subcutaneous lissues; more commonly, it specifically describes gas dissecting into the deeper sol fissues and -musculature along fascial planes of the body/limbs.

Pathophysiology Causes of subcutancous emphysema include the following
-Gas arising internally
-Pneurnothorax
-Pneumomediastinum
-latrogenic, e.g., intubation or chest tube or postsurgical
-Pulmonar interstitial emphysema
-Perforated hollow viscus in the neck, e g., esophageal perforation
-Fistula tract
-Externally introduced gas
-Penetrating trauma
-Gas produced de novo, such as gas-producing infection(s), e.g., necrotizing fasciitis.
-Trauma (most common cause seen)

Progression of subcutaneous emphysema following thoracic surgery should raise the suspicion for a posible bronchial leak

Which of the following signs is demonstrated?

- Celery stalk sign
- Drooping lily sign
- Ginko leaf sign
- Holly leaf sign
- Holly leaf sign
- Water lily sign